
Your Body Matters
Decorate with kindness. Tattoo with care.






tattoos aren’t just art pieces,
they are experiences
my goal as a tattooer is to make people feel comfortable in their own skin, by centring my clients’ comfort and prioritizing informed consent throughout the entire process

See the Latest on Instagram
Flash and appointment availabilities are kept up to date on story highlights



Andy Pollard
They/them
Hello! I’m Andy— a handpoke and machine tattoo artist and writer in Vancouver, BC. I am self taught, community led, and passionate about creating open conversations about the history, science, and art of tattooing


Notes from the field
Read my latest musings on tattooing as an industry, an art, and an intellectual field on my blog.
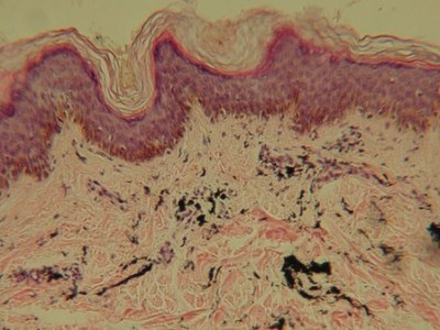
Tattoo Dermatology: Physiological References for Tattoo Artists and Practitioners
The Story Behind the Project: In spring 2023, I began a project aimed at visualizing the current science of tattoo dermatology. By the fall, the idea had snowballed into a 14 medical illustrations, using data sourced from scientific studies ranging from the…
How do colour tattoos work?
Jump to: Ink Composition Colour tattoo behaviours Design Applications Tattoo dermatology 101: Part ii There’s something undeniably enticing about colour tattoos. They are vibrant, bold, and certainly stand out in the sea of black and grey tattoos. Colour is new and unpredictable;…
How does skin retain ink?
Having a practical understanding of skin is essential. Having niche understanding of macrophage behaviour in the dermis? That’s just fun





