
Considering how many people have tattoos, not very many of us know the science behind our ink.
Key terms:
It can be challenging to find reliable and accessible information about how tattoos work in human skin. Even though there’s relatively little ongoing research, most of it is still blocked by expensive paywalls, and none of it is easy reading.
In the parlour tattoo industry, where the apprenticeship system aims to teach artists all the relevant information they’ll need for a successful career, the teachings aren’t necessarily backed up by science. Rather, artists have passed down insights that they have gained through decades of experience and countless conversations with other artists. Within their own tattoo communities, artists have been able to corroborate or dispel each others’ claims, and hopefully reach some kind of agreement before teaching the next generation of artists. This approach has clearly garnered an abundance of practical knowledge for their craft, and oftentimes science confirms what tattoo artists have known for decades, if not centuries.
However, the landscape of the industry is changing, and many new artists (myself included) are choosing not to participate in apprenticeships. Instead, self-taught artists are learning from their own experiences, from community mentors, or from the internet. Whatever the approach may be, there are some fundamentals that all tattooers need to understand concerning human physiology and skin.
As artists, it’s essential to have basic understanding of skin’s structure.
We need to:
– Know how deep to insert the needles, so that we avoid both fallout and blowout.
– Understand, anticipate, and minimize skin’s normal reactions to needle trauma
– Know how to approach tattooing people with different skin conditions
– Communicate about proper aftercare, and share recommendations for ideal healing
– Identify allergic reactions and infections (and instruct clients on how to navigate them)
Knowing these things guarantees that our work is consistent and dependable.

Having a practical understanding of skin is essential for tattooers.
Having niche understanding of macrophage behaviour in the dermis? That’s just fun
So, here’s what your tattoo artist needs to know about the structure of skin— and a couple things they probably haven’t learned yet!
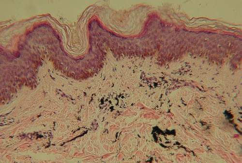
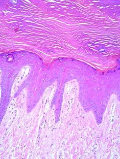
Normal Skin Structure:
The main layers of skin are:
the hypodermis (fat), the dermis, and the epidermis

The HYPODERMIS is a layer of subdermal fat which insulates the body and separates skin from muscle. This layer contains lymphatic vessels, which serve as the body’s fluid draining system, and blood vessels, which carry nutrients, oxygen, and cells to and from the skin.
The DERMIS is the bulk layer of skin composed primary of collagen (an organized network of protein fibres with high tensile strength). The dermis hosts sweat glands, hair follicles, nerve endings, and blood supply for the entire organ. This is where tattoo ink settles.
The EPIDERMIS, the outermost layer of skin, continuously generates keratin rich skin cells from its base layer (basal cells), infusing them with packets of melanin which provide sun protection and pigmentation. Old cells move upwards and die as new cells replace them from below. The dead cells compact together, forming the outermost protective layer of skin, which the hair and sweat glands emerge from. The epidermis is thickest on the palms and soles of the feet, where it can continuously compact in the outer layers and form callouses, and it is thinnest on the eyelids and external genitalia.
It’s worth mentioning that the border between the epidermis and the dermis is highly textured. They interlock in a zipper like formation which maximizes their surface area, allowing blood in the dermis to most efficiently supply nutrients to generative basal cells in the epidermis. This feature makes the exact depth of the epidermis difficult to calculate, but it increases our skin’s sensitivity as the nerves in the dermis can get closer to the surface.
Tattooed Skin:
To heal a tattoo, skin has to heal any damage caused to the epidermis, and must also contain the ink particles safely within the dermis
During the tattoo process…

…needles repeatedly pierce through the epidermis to deposit ink particles into the dermis. This uniform, repetitive puncturing of the skin’s layers is classified as skin trauma
The body immediately reacts with inflammation (providing a localized increase in blood supply) to both the trauma from the needles and the foreign bodies of the ink particles.
In the event that the needle reaches the subdermal fat, damage to the central capillaries results in excess bleeding and extracellular ink diffusion. Otherwise known as “blowout”
24 hours later
Scabbing and inflammation occur over the epidermis.
Extensive trauma from the needles reveals that the epidermal-dermal junction is largely destroyed.
Ink particles can be found in the cytoplasm of upper, lower, and basal epidermal cells, as well as dermal macrophages (white blood cells specifically outfitted for healing and immune responses within the dermis).
Extracellular particles drain through the weakened collagen netting of the dermis into the lymphatic system, leaving the skin.
1 month later
No more scabbing or inflammation.
Ink particles in the epidermis are condensed within the layer’s basal cells.
The basement membrane of the dermal-epidermal junction is slowly rebuilding. In the dermis, ink containing cells are concentrated along the epidermal border and are closely surrounded by collagen.
No pigments are found in the surrounding lymphatic vessels, nor extracellularly.
1 year later
No ink particles are found in the epidermis.
The dermal-epidermal junction has fully regenerated.
Dermal macrophages containing ink particles are spread throughout the upper portion of the dermis, and each cell is tightly surrounded by the rebuilt collagen network.
Tattoo Aging
Skin is one of the fastest organs to fully regenerate, and it does so throughout our adult lives. If our skin isn’t permanent, how are our tattoos?
Read my earlier musings on tattoos, permanence, and preservation.
Release, Recapture, Repeat
It was only recently in 2018 that scientists in France figured out how ink remains fixed in place as our skin regenerates around it.

Their study included a diagram of the macrophage replacement and ink particle re-uptake process, as well as microscopic imaging of macrophages with and without ink particles inside.
By the end of the healing process, dermal macrophages have contained all the ink pigments remaining in the dermis, and have settled themselves tightly in place within the surrounding collagen network.
Eventually these cells die and must be replaced. However, the body can’t of flush the whole ink-packed cell easily into our lymphatic system. As such, these macrophages release their inner contents as they die. The organic waste from this cellular death is carried away by other white blood cells, and a new dermal macrophage absorbs the released ink particles, replacing the dead cell’s position in the collagen network.

Baranska et al observed this cycle of capture–release–recapture in tattooed mice over a 90 day interval, and concluded that tattoo pigment particles can undergo this cycle successively throughout an organism’s lifetime. As such, “long term tattoo persistence likely relies on macrophage renewal rather than longevity” Baranska et al. 2018.
We are only recently starting to understand how tattoos work on a scientific level. The potential for discovery is exciting, but surprisingly little is helpful for working tattoo artists.
Unfortunately for us, most of the research is geared towards helping dermatologists refine their processes of tattoo removal. In each of the articles cited for this post, for example, tattoo artists weren’t consulted for their professional insights. Plus, each piece’s conclusion sections explicitly highlight how their research could improve removal methods, without ever mentioning how it could improve professional tattoo practices. While I love being an artist who understands and educates their peers about advances in dermatology, research like the articles cited here were not made to help tattoo artists improve their work.
Of course, I personally find that learning the science can help to supplement the practical knowledge that I acquire in my professional life. Especially as I am self-taught, I want to make sure that any practical insights I gain through tattooing are accurate beyond my personal experiences, and are verifiable through other sources.
While I often find myself frustrated with the disconnect between the questions that professional tattoo artists want answered, and the questions scientists choose to research, I still enjoy piecing together what I can.
Interested in learning more about tattoo dermatology?
Check out the Resources page.






